技術文章
更新時間:2025-10-29
點擊次數:52
一.傳統病理抗體為何需要重新認識?
在病理診斷領域,常規使用的成熟抗體往往被稱為“老"抗體。這些抗體已在實驗室中廣泛應用多年,其特性和應用范圍似乎已被掌握。然而,隨著病理學研究的深入和臨床實踐的積累,這些傳統抗體正在展現出全新的診斷價值。重新審視這些經典標志物,不僅能夠拓展診斷思路,還能為精準醫療提供更多工具。
2016年腫瘤病理診斷新進展學習班特別設置了“免疫組化診斷線索和陷阱"專題培訓,由國際臨床病理學家系統介紹了免疫組織化學診斷的新思路與新方法。其中關于“老"抗體新用法的討論,為病理診斷工作帶來了重要啟示。

二.S-100蛋白在涎腺腫瘤診斷中有什么新價值?
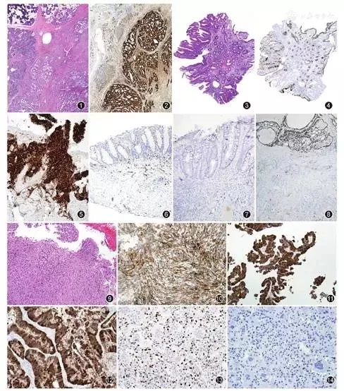
S-100蛋白作為傳統的施旺細胞和黑色素細胞標志物,近年來在涎腺腫瘤診斷中展現出新的應用價值。涎腺類似乳腺分泌性癌(MASC)是近年新認識的涎腺腫瘤,其組織形態學與乳腺的分泌性癌相似,具有相同的染色體易位t(12,15)及ETV-NRTK3融合基因。
MASC的臨床表現與腺泡細胞癌相似,均屬于惰性腫瘤,總生存率無明顯差異。組織學上,MASC呈寬大推擠性邊界伴局灶浸潤,主要排列方式包括乳頭狀囊狀結構、微囊狀-篩狀結構、島嶼狀結構和甲狀腺濾泡樣結構。腫瘤細胞具有低級別核特征,呈空泡狀非特異性腺上皮細胞,缺乏嗜堿性酶原顆粒,腔內可見泡狀分泌物。
值得注意的是,在以往診斷的腺泡細胞癌中,有20%~30%實際上為MASC。現在可采用一組抗體組合來鑒別這兩種腫瘤,其中S-100蛋白聯合乳腺球蛋白、STAT5陽性,DOG1陰性的表現支持MASC診斷。S-100蛋白在MASC中呈現胞質/核彌漫強陽性表達模式,成為鑒別診斷中的重要工具。
三.CD10如何助力膽管病變的良惡性鑒別?
CD10作為傳統的生發中心標志物,在膽管上皮腫瘤診斷中展現出新的應用前景。在正常膽管及反應性增生黏膜中,CD10在腔面呈連續強陽性表達。隨著病變進展,這種表達模式發生特征性改變:在膽管上皮低級別異型增生和腺瘤中呈不連續陽性,而在高級別異型增生及浸潤性癌中則陰性。
這種表達模式的演變為區分良惡性肝外膽管病變提供了重要依據。通過觀察CD10的表達特征,病理醫師能夠更準確地進行診斷和分級,為臨床治療決策提供可靠依據。
四.Calretinin在神經源性腫瘤診斷中有什么突破?
Calretinin作為傳統的間皮細胞標志物,近年來在神經源性腫瘤診斷中取得重要進展。在正常鼻腔嗅神經上皮中,Calretinin呈陽性表達。研究顯示,絕大多數嗅神經母細胞瘤(20/21)都表達Calretinin,這使其成為該腫瘤診斷和鑒別診斷的重要標志物。
此外,Calretinin已成為先天性巨結腸病的新標準診斷工具。在正常結腸組織中,黏膜肌或黏膜內的神經纖維和神經節細胞Calretinin染色陽性。而在先天性巨結腸病中,神經纖維Calretinin陰性,僅黏膜下肥大的神經顯示弱陽性。
需要特別注意的是,Calretinin染色陰性時,需排除免疫組織化學染色失敗的可能。只有當組織中肥大細胞(內對照)陽性或外對照(正常結腸組織)陽性時,才能判定免疫組織化學結果有效。這一質控要求確保了診斷的準確性。
五. 總結
傳統病理抗體的新應用正在不斷拓展診斷病理學的邊界。通過深入理解這些標志物的生物學特性和表達規律,病理醫師能夠更加精準地進行疾病診斷和分類。隨著研究的深入,相信還會有更多經典抗體煥發新的生命力,為精準醫療時代提供更多有力的診斷工具。病理工作者應保持開放的學習態度,不斷更新知識儲備,才能充分發揮這些寶貴工具的價值。
六.提供病理抗體的廠商有哪些?
杭州斯達特生物科技有限公司自主研發的“S-RMab® MCM2重組兔單克隆抗體"(貨號:S0B1019),是一款具有高靈敏度、高特異性及優異染色穩定性的病理級抗體產品。該產品采用專有的S-RMab®重組兔單克隆抗體技術平臺開發,經IHC-P嚴格驗證,在腫瘤增殖指數評估、癌癥預后判斷及細胞周期研究等病理診斷與研究中具有關鍵應用價值。
產品核心優勢:
高靈敏度與高特異性: 本品經多種組織樣本驗證,能精準識別MCM2(微小染色體維持蛋白2)抗原,在福爾馬林固定石蠟包埋(FFPE)樣本中展現出染色性能。極低的非特異性背景確保了病理判讀的準確性與可靠性。
染色穩定性與批次一致性: 在嚴格的質控標準下,產品表現出優異的染色穩定性和批間一致性,染色結果清晰可重復,為臨床病理診斷與大型研究項目提供穩定可靠的工具。
適用于多類關鍵應用場景: 該產品是進行以下研究的理想工具:
腫瘤增殖活性評估: 作為Ki-67的有效替代或補充指標,用于多種惡性腫瘤增殖指數的精準評估
癌癥預后與診斷研究: 用于評估MCM2表達水平與患者預后的相關性,為癌癥診斷與風險分層提供依據
癌前病變與良惡性鑒別: 用于輔助鑒別增生性病變、癌前病變與惡性腫瘤
細胞周期與增殖機制研究: 用于基礎研究中細胞增殖調控及相關信號通路的探索
專業技術支持: 我們提供詳盡的產品技術資料,包括完整的IHC-P實驗流程、優化后的抗原修復方案及判讀標準,全力協助客戶在腫瘤病理研究與診斷中取得精準、可靠的結果。
杭州斯達特生物科技有限公司始終致力于為全球創新藥企與科研機構提供高質量、高價值的生物試劑與解決方案。如需了解更多關于“S-RMab® MCM2重組兔單克隆抗體"(貨號S0B1019)的詳情或申請樣品測試,歡迎與我們聯系。

杭州斯達特志在為全球生命科學行業提供優質的抗體、蛋白、試劑盒等產品及研發服務。依托多個開發平臺:重組兔單抗、重組鼠單抗、快速鼠單抗、重組蛋白開發平臺(E.coli,CHO,HEK293,InsectCells),已正式通過歐盟98/79/EC認證、ISO9001認證、ISO13485。
經典病理抗體如何煥發新生?